跳至内容

以影为引,针尖上的精准革命:PET/CT重塑肿瘤微创治疗新范式

从“看得见”到“打得准”,多模态成像如何赋能肿瘤消融与活检,实现病灶的“发现即治疗”
2025年12月15日
以影为引,针尖上的精准革命:PET/CT重塑肿瘤微创治疗新范式
肿瘤微创中心, 李敏

最顶级影像引导催生最精准微创

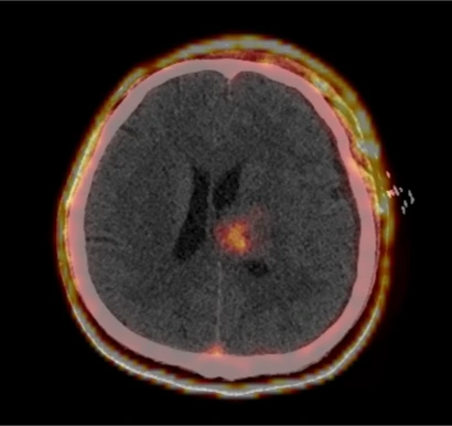
PET/CT作为解剖学与功能性融合的集大成者,在诊断领域已经展现出了无可比拟的作用 

济南肿瘤介入
国内首个PET/CT微创治疗专有平台

PET/CT,中文全称为正电子发射断层显像/X线计算机体层成像仪,是一种将功能代谢显像(PET)与解剖结构显像(CT)两种先进影像技术有机融合的新型医学影像设备。通过揭示人体内部的代谢与功能状态,为多种疾病,特别是肿瘤的精准诊疗提供了至关重要的信息。

肿瘤微创的核心是采用先进的影像设备进行引导,从最初的X机到超声、CT乃至MRI,我们一直在探索新的影像设备对疾病治疗早期诊断和精准定位。PET/CT在微创领域的应用,标志的肿瘤微创进入分子影像引导的全新领域,最终实现患者获益。

近些年国家收费目录已经将PET/CT费用降低到了合理空间

山东粒子介入

PET/CT引导优势

诊断准确、定位清晰

PET/CT

  • 依靠分子改变 及时

    PET/CT可以在分子层面诊断肿瘤代谢、肿瘤相关成纤维细胞等相关分子

  • 病灶分辨率高 清晰

    肿瘤微创治疗之所以微创就是对病灶实施精确打击,PET/CT好比相控阵雷达,可以清晰分辨异常和正常组织

  • 多模态成像 高端

    PET/CT在融合CT图像后可以完成术中增强扫描,避开危险血管


传统CT

  • 传统形态分析 滞后

    传统CT依靠病灶密度来判定疾病,很多疾病当出现形态学改变就已经“晚了”

  • 脑/软组织分辨差 错位

    传统CT引导对肺组织等密度差异较大组织有一定优势,但是对肺不张无能为力

  • 单模态成像 普及

    传统CT在最初微创治疗的发展中起到普及性作用,但随着定位要求的提高已有较多局限

由此开始...