跳至内容

医疗服务

胸部肿瘤微创/介入治疗

胸部肿瘤

肺癌、纵隔肿瘤/淋巴结、胸膜肿瘤、食管癌、心脏肿瘤 

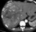
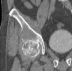
腹部肿瘤微创/介入治疗

腹腔肿瘤

肝癌、胆管癌、胰腺癌、肾癌、淋巴结转移

盆腔肿瘤微创/介入治疗

盆腔肿瘤

卵巢癌、结肠癌、前列腺癌、子宫内膜癌、宫颈癌、转移淋巴结

颈部淋巴结转移介入

口腔/头颈部肿瘤

淋巴结转移、舌癌、咽喉肿瘤、扁桃体癌

脑肿瘤介入

脑肿瘤

脑胶质瘤、脑转移瘤

骨转移瘤介入

骨肿瘤

颅骨转移、颈椎转移、胸腰椎转移、髋关节转移

最新动态

看看我们团队有什么新消息!

Your Dynamic Snippet will be displayed here... This message is displayed because you did not provide enough options to retrieve its content.

肿瘤治疗其他新领域

看看我们的案例研究