胆管癌传统治疗手段有限
根治性手术切除率低
即使成功实施了根治性手术,胆管癌的术后复发率依然很高。长期生存率不理想。
对传统放化疗不敏感
胆管癌细胞对传统的化疗药物容易产生原发性或继发性耐药 。放疗易造成损伤。
靶向与免疫治疗尚在突破
靶向药物适用人群窄,对免疫检查点抑制剂等免疫治疗的敏感性总体相对较低。
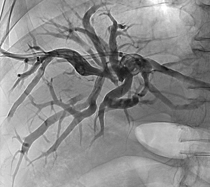
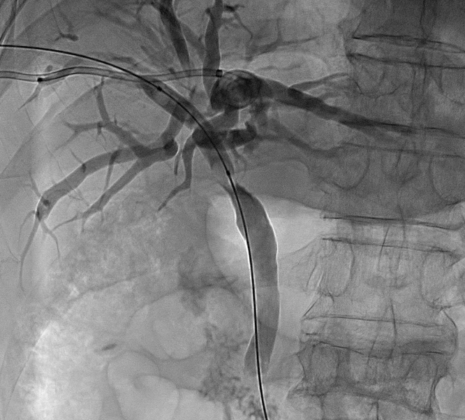
胆道粒子支架的原理与优势
胆道粒子支架是将金属胆道支架与放射性粒子(通常为碘-125,¹²⁵I)相结合的一种创新型介入治疗手段。
机械支撑作用
金属支架植入后可即刻扩张狭窄的胆道,恢复胆汁引流通畅,迅速缓解黄疸症状。
持续内照射作用
支架上均匀分布的¹²⁵I放射性粒子可持续释放低能量γ射线,可在局部形成持续数月的放射治疗效应,抑制肿瘤细胞增殖、诱导肿瘤细胞凋亡。
协同效应
支架提供即时的胆道再通,放射性粒子则通过持续照射延缓肿瘤向支架腔内生长,两者协同实现更持久的治疗效果。。


主要适应症
1、胆管癌(肝门部胆管癌、远端胆管癌)
2、胰头癌侵犯胆道
3、转移性肿瘤导致的胆道梗阻
4、其他无法手术切除的恶性胆道狭窄
粒子支架长期保障胆管通畅
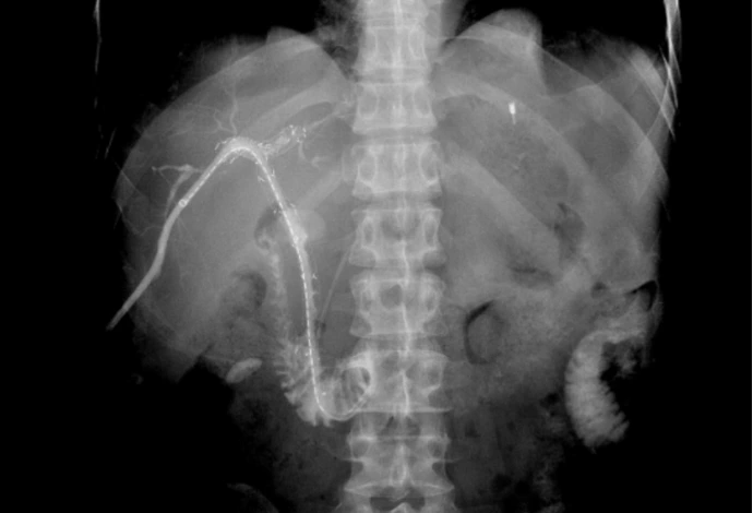
粒子导管来救场
将“减黄”(引流)和“抗肿瘤”(粒子)两种治疗合二为一。通常采用三腔结构,包括一个较大的胆汁引流腔和一到两个较小的粒子腔。
创新
将携带粒子的引流管引入狭窄支架内
聚焦
粒子能量在支架内局部释放,引流的同时,使支架再通
95%
支架再通率
+10
生活质量
常见问题解答
由于造成恶性梗阻的肿瘤会持续生长,导致普通支架或引流管短期内再堵塞。普通支架植入+粒子导管能抑制肿瘤生长,从而显著延长胆道的通畅时间;或者不植入支架,单独使用粒子导管也能起到抑制肿瘤并保持胆管长期通畅。
粒子导管是一种融合了机械引流和放射性粒子内照射治疗功能的复合型器械,但是粒子依然是包裹在导管腔内部。手术和植入方式和传统引流管核心区别不大,不必要担心手术的风险提升。
得看具体情况,在初次发现胆管梗阻时,粒子支架在快速胆管再通的同时,抑制肿瘤生长,粒子导管需要体外携带导管,会对生活造成一定的不便。但是在出现支架后再狭窄,粒子支架无法顺利输入,因此粒子导管是首选。总体而言,两种方法都是在解决引流问题的时候抑制肿瘤生长。