跳至内容
粒子植入能治哪些病?有什么优势?

粒子植入能治哪些病?有什么优势?

粒子植入本身是限制性技术,患者及相关领域医务人员对粒子植入的深入了解是防止盲目批判和过度使用的关键。
负责人 李敏
最后更新 2025/12/17
完成时间 4小时 25分钟
成员 1
基础的


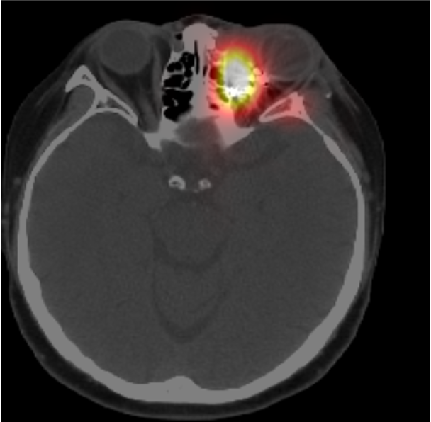
眼眶粒子植入

从肿瘤内部“核爆”

有效杀灭肿瘤,保护正常组织

探索

粒子治疗概念

其属于近距离放射治疗的一种,被称为“内放疗”。与传统的外放射治疗不同,它是将放射源(碘125粒子)直接放置到肿瘤内部或受侵犯的组织中。这就像在肿瘤内部安装了一个或多个微型的“放疗仪”,能够24小时不间断地工作。 

胰腺粒子植入

粒子治疗肿瘤的前生今世

出身于核技术,成长于影像引导。



20世纪初至1960年代

技术起源与早期临床应用

放射性粒子植入的雏形可追溯至1901年,在镭元素被发现后,科学家首次提出了将包壳放射性核素直接埋入肿瘤组织进行治疗的概念,即“近距离治疗”。有文献记载的最早临床应用发生在1914年,法国巴黎镭生物学实验室的医生Pasteau和Degrais首次报道使用镭管经尿道插入治疗前列腺癌。次年,即1915年,美国纽约纪念医院肿瘤中心完成了第一例镭针插植治疗前列腺癌。这些开创性尝试标志着该技术正式进入临床。



 
1970–1990年代

技术标准化与现代基础奠定

1972年,美国纽约纪念医院的Whitmore等人首次报道通过耻骨后插入碘-125粒子治疗前列腺癌,这被认为是奠定了今天前列腺癌近距离治疗基础的重要工作。进入80年代,影像技术和治疗计划的进步推动了技术的革命性发展。1983年,文献记载了经会阴超声引导下碘-125粒子植入治疗前列腺癌的方法。同时,B超、CT等影像设备的普及,使得粒子植入得以从开放手术转向经皮穿刺,大幅提升了定位的准确性。1985年,美国近距离放射治疗协会发布了首个粒子植入剂量指南,推动了治疗流程的标准化。



2000年至今

精准化发展与当代应用

21世纪以来,粒子植入进入了影像引导、个体化计划的精准治疗时代。核心进步包括:三维治疗计划系统(3D-TPS)的广泛应用:基于CT/MRI影像重建肿瘤三维模型,通过计算机算法优化粒子分布和剂量,将植入误差控制在毫米级。术中实时导航技术的普及:超声、CT引导以及机器人辅助植入等技术,使操作精度极大提高。我中心首次建设了PET/CT引导平台,穿刺精读大幅提升。对于前列腺癌,其局部控制率可达90%以上。适应症的扩展与指南认可:该技术已从主要治疗前列腺癌,扩展到肺癌、胰腺癌、复发性头颈部肿瘤等多个领域。美国国立综合癌症网络等权威指南已将其列为前列腺癌的根治性治疗手段之一。


粒子优势的核心是什么 

极短的照射距离:碘125粒子释放的γ射线有效照射半径仅为1.7厘米。这意味着其能量绝大部分被局限在肿瘤靶区内部吸收。

快速的剂量衰减:随着与粒子距离的增加,剂量迅速下降。因此,在肿瘤内部能达到足以杀灭细胞的高剂量,而一旦超出肿瘤边界,对周围正常组织(如肠道、大血管)的辐射剂量便急剧降低至安全范围,从而最大限度地保护了关键器官和正常组织。

✽ 伴随优势

  • 技术层面的“高度适形”效应:实现个体化精准治疗

    治疗前,通过CT、MRI等影像确定肿瘤三维形态,利用三维治疗计划系统(TPS) 精确计算所需粒子的数量、活度和三维空间分布,制定出完全贴合肿瘤形状的个体化治疗方案。 

  • 生物学层面的“持续打击”效应:克服肿瘤放疗抵抗性

    碘125粒子的半衰期约为60天,能在肿瘤内持续释放低剂量率射线长达180天以上。 射线可以持续产生氧自由基杀伤肿瘤,克服了传统放疗短时间照射的弱点。

  • 治疗过程中“潜移默化”:杀灭病灶的过中持续释放肿瘤抗原

    肿瘤免疫治疗的核心之一就是如何提高免疫系统识别肿瘤的能力,长期的抗原释放相对于其他手段无疑是最好选择。

  • 粒子低剂量率持续抑制肿瘤疼痛因子分泌,起到强力止痛效果

    癌痛的原因有多种,核心因素是肿瘤分泌大量炎性因子刺激感觉神经,同时肿瘤压迫也是疼痛的原因。粒子照射能够快速抑制炎症分泌、延缓神经传导并解除肿瘤压迫。

脑胶质瘤粒子植入

现代肿瘤治疗理念一定是综合治疗,对于小结节病灶,微波和氩氦刀会更有优势,对于肝脏肿瘤结合介入栓塞会更符合我们的理念。对抗原释放而言,多种微创结合会提供更全面的片段。

对于粒子而言,其辐射杀伤范围仅1.7cm,要求医生穿刺技术必须足够精确,就像航母降落飞机,本身很好,但不是每个飞行员都能成功,导致不同患者的体验不同。

碘125粒子植入治疗就像在肿瘤内部安装了一个“微型放疗仪”,它的射线只有1.7厘米,能量主要都消耗在消灭肿瘤上了。穿透您身体再传到外面的光已经非常微弱,对一米外家人的影响,比坐一次飞机受到的宇宙辐射还要小得多。我们所有的治疗设计,首要原则就是保护本人的正常器官不受伤害。如果连外面的家人都需要担心,那您体内的器官早就承受不住了,这种治疗根本就不会被允许使用。我们建议保持一定距离,是医学上“哪怕有一丝可能,也要做到最好”的负责任态度,而不是因为它真有危险。即使个人比较严谨需要铅衣,其防护当量用最小的即可,重量很轻。

肿瘤治疗的核心理念之一就是局部+全身治疗,粒子作为有效的局部治疗可以作为手术切除的替代,手术后药物治疗是我们共同的认知。当然也有粒子的独特一方面,比如粒子会有很强的免疫促进效应,因此可以促进免疫治疗的疗效。

由于粒子植入是通过长期持续照射杀灭肿瘤,因此其免疫激活效应是属于持续性的。另外,粒子具有高度适应性,因此对较大体积、多发转移瘤粒子有着显著优势。而微波以及氩氦刀对小肿瘤具有瞬时优势。

1、粒子近距离照射可以延缓神经传导速度;2、射线可以抑制肿瘤炎性因子分泌,结束疼痛源头;3、肿瘤持续缩小可以解除肿瘤对神经的压迫。

由于粒子辐射范围非常局限,对周围器官几乎没有影响。患者身体有些不舒服的感觉多是由于同期使用药物引起的药物反应。

粒子植入的核心优势在于其高度精准与持续的内照射特性:通过影像引导将碘125等放射性粒子直接植入肿瘤内部,其释放的短射程射线(有效距离约1.7厘米)能使肿瘤接受极高剂量的照射,同时周围正常组织损伤极小。另外,其持续低剂量率照射模式所带来的独特放射生物学效应。

首先,这种24小时不间断的照射,能够持续覆盖肿瘤细胞分裂的所有周期,确保在细胞进入对射线敏感的时期(如M期)时将其杀灭,从而克服了传统高分次放疗可能错过的放射耐受期。

其次,持续照射能改善肿瘤内部的缺氧状态。射线使肿瘤的氧增比减少、乏氧细胞比例下降,促使乏氧细胞再氧化,从而提升了整体放疗效果。

最后,从机制上看,这种低剂量率的持续照射被认为有利于重构肿瘤免疫微环境。它可能通过诱导免疫原性细胞死亡等方式,为激活全身性抗肿瘤免疫反应创造有利条件,这使其超越了单纯的局部治疗,具备了与免疫治疗协同的潜力。

粒子能治什么肿瘤?


既然粒子植入和手术一样高效治疗肿瘤一种方式,那么全身各个部位的肿瘤均是其治疗范围。由于其安全性,对重要的危险器官,比如脑、纵膈、肝门具有天然优势。另外,由于其生物效应持久化,对体积巨大肿瘤,全身多发转移等其他治疗禁区具有明显疗效。对于肝癌等,结合动脉介入可以有效克服肿瘤治疗抵抗的现象。

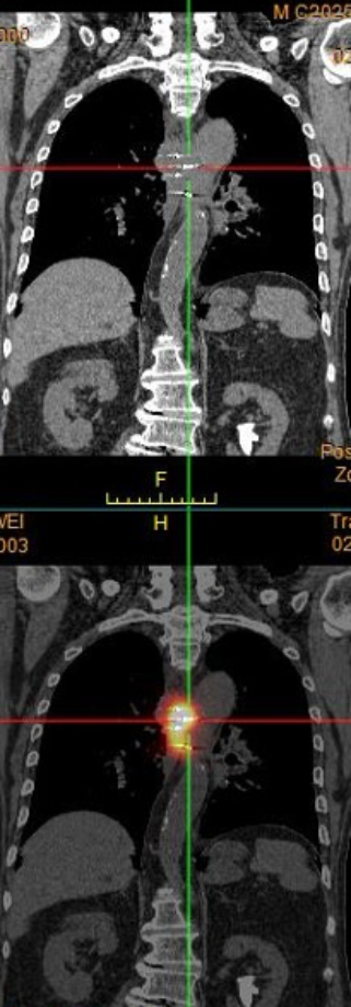
纵隔粒子植入

PET/CT引导下粒子植入

粒子植入的核心是精准植入有活性的或者代谢高的肿瘤区域才能起到治疗作用,我们创新性地将PET/CT引导投入粒子植入领域,建立国内首个PET/CT微创引导平台,将粒子优势与PET/CT强项有机融合。

了解更多

胆管恶性肿瘤导致胆管狭窄怎么办? 

粒子导管/支架通过内照射赋能,突破治疗瓶颈

了解更多

直观疗效



我们的最新内容

Your Dynamic Snippet will be displayed here... This message is displayed because you did not provide enough options to retrieve its content.